Dealing with a persistent stuffy nose can disrupt sleep, make breathing difficult, and even affect daily productivity, leaving many patients feeling frustrated and fatigued. For those in Houston struggling with chronic nasal congestion, whether caused by allergies, sinus infections, or structural issues like a deviated septum, effective treatment can bring much-needed relief. Patients often seek solutions not only to improve breathing and reduce snoring but also to enhance overall quality of life.
Our clinic in Houston offers personalized evaluations and advanced treatment options designed to address the root causes of nasal obstruction and help patients breathe easier again.


The simplest description of nasal congestion is difficulty breathing through the nose or a stuffy nose. People describe it as “feeling stuffy,” “tightness,” or “pressure.”
Some individuals have never breathed well through their nose, so they don’t know the true feeling of an open nasal passage. They view their nasal congestion as normal. This group usually comes in to address snoring, blocked ears, or what they perceive as allergies.
At Texas Sinus & Snoring, we apply the full range of diagnostic modalities and the latest technology to get to the bottom of your problem. Living with cyclical nasal blockage, seasonal allergies, or snoring is not fun. We want to help you “break the cycle and breathe.”
Anatomic Nasal Obstructions:





Acute or chronic sinusitis, colds, flu, or environmental allergies can trigger swelling of the nasal lining. No matter what causes the swelling, your airway narrows as the swelling increases. This causes a stuffy nose.
Floppiness of the nasal sidewalls or nasal valve stenosis is a common problem. Sometimes the nasal sidewalls don’t have the strength to remain open when we take a full breath. Think about trying to breathe through a straw made of cloth rather than plastic.
Dr. Cilento pioneered methods of determining if nasal valve stenosis is present. He also uses the latest techniques for fixing simple to complex versions of this common problem.
Treatments for nasal congestion or a stuffy nose can vary depending on the cause. However, there are some ways you can help temporarily reduce the pressure you feel in your nose.
Keep Your Nasal Passages Moist
Hydrate yourself, especially in Houston. Drinking 2-4 quarts of water a day will help keep mucus thin and functioning optimally.
Practice nasal rinses with nasal saline. (View our instructional video here)
Use a humidifier
Take a warm shower and breathe in the steam
Use a nasal saline spray
Over-the-counter Medicines
Decongestants help reduce the swelling in your nasal passages. However, prolonged use can cause blood pressure problems.
Antihistamines help if allergies are causing your nasal congestion.
Pain relievers help relieve the pain associated with the swelling in your nose
Your nasal congestion could be a symptom of one or more different problems.
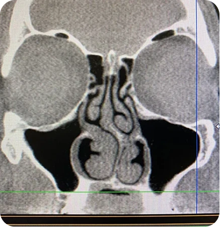
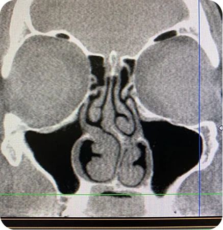
For example, swelling from chronic sinusitis, a deviated septum, enlarged turbinates, and nasal valve collapse could all be the cause. Fixing one of these things, but not the others, will not correct the problem. In this case, the answer would be balloon sinuplasty to fix the sinusitis, turbinate reduction, septoplasty, and nasal valve reconstruction.
Follow the links below to learn more about any of the procedures that may help with nasal congestion.

Bad Breath & Tooth Decay
Dizziness & Hearing Loss
Sore Throat & Loss of Voice
Snoring & Sleep Interruption
Nasal congestion can also affect your sleep. When you can’t breathe out of your nose, you are forced to breathe out of your mouth. This can cause snoring and can be a big problem for those with sleep apnea. Snoring can also keep your partner awake.
Feeding Issues for Infants

Nasal congestion occurs in people of all ages, but certain individuals are more prone to its effects. Those with allergies often experience a runny nose, swelling in the nasal passages, and repeated episodes of congestion. Patients with chronic sinus infections may suffer from persistent nasal blockage, sinus headaches, and pressure that interferes with daily activities.
Structural issues, such as narrow nasal passages or weakened nasal valves, can contribute to obstructive sleep apnea by restricting airflow during sleep. Even minor irritation can cause the blood vessels inside the nose to swell, further worsening congestion. Understanding who is most affected helps guide effective treatment and provides relief tailored to each patient’s needs.

At our Houston clinic, we take a personalized approach to diagnosing and treating nasal congestion, difficulty breathing, and other sinus conditions. Using advanced tools like the NOSE score test and nasal endoscopy, we carefully evaluate both nostrils to identify the underlying cause of your symptoms, whether it’s turbinate hypertrophy, nasal polyps, a deviated septum, or chronic sinusitis. Our team also assesses how structural issues or inflammation may pull outward on nasal passages, contributing to trouble sleeping, sinus pressure, or other symptoms.
Once a diagnosis is made, we offer a full range of sinus procedures designed to help you breathe freely and find relief. We encourage patients to seek treatment early and stay up-to-date with the latest therapies so that their nasal health is optimized.Schedule an appointment today to begin a treatment plan tailored to your unique needs.
Topical nasal steroid sprays can provide temporary relief from nasal congestion and facial pressure, but they are not a long-term solution for chronic sinus issues. Over-the-counter medications may help in the short term, but relying on them for extended periods can mask underlying problems rather than addressing the cause. For lasting improvement, it’s best to consult a specialist who can evaluate your nasal passages and recommend treatments that truly resolve the congestion.
Nasal valve collapse can significantly restrict airflow, making it difficult to get enough air through your nostrils. This can worsen sinus problems, lead to chronic congestion, and contribute to severe problems, such as trouble sleeping or persistent facial pressure. Our ENT specialist can assess whether nasal valve collapse is affecting your breathing and recommend procedures or therapies that provide lasting relief, improving both airflow and overall nasal function.
Yes, Dr. Cilento is a board-certified ear, nose, and throat specialist with extensive experience in providing sinus relief. To receive a professional nasal congestion treatment, Houston patients can trust Dr. Cilento’s expertise in diagnosing and treating a wide range of nasal and sinus conditions to help them breathe more comfortably and improve their quality of life.